【 청년일보 】 뷰노가 아시아 최대 규모 헬스케어 시장인 태국 진출을 본격화하고 해외 사업 강화에 나선다.
글로벌 의료인공지능 솔루션 기업 뷰노는 10일 자사 인공지능 기반 흉부 엑스레이 영상 판독 보조 솔루션 뷰노메드 체스트 엑스레이™(VUNO Med®-Chest X-ray™)가 태국 식약청(Thailand FDA)으로부터 의료기기 판매허가를 획득했다고 밝혔다.
태국의 의료기기 시장은 아세안(ASEAN) 최대 규모로, 정부의 적극적인 지원과 투자를 바탕으로 빠르게 성장하고 있다. 시장 규모는 오는 2024년 22억 달러에 달할 것으로 예상되며 연평균 성장률은 6.1%로 전망된다. 태국 정부는 고령화와 코로나19 팬데믹 상황에서 국가 경쟁력 확대를 위한 12대 미래산업 중 하나로 헬스케어 산업을 선정하고 다양한 육성책을 제시하고 있다.
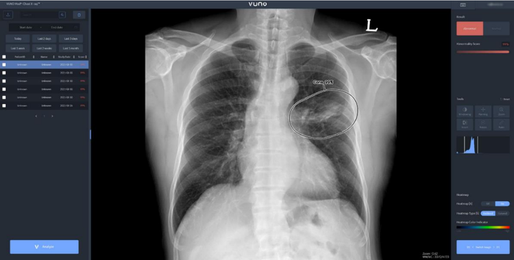
이번 태국 허가를 획득한 뷰노메드 체스트 엑스레이™는 흉부 엑스레이 영상에서 결절, 경화, 간질성 음영, 흉수, 기흉 등 주요 이상소견을 높은 정확도로 탐지하는 인공지능 솔루션이다. 의료진에게 이상소견의 소견명과 위치를 제시해 결핵, 폐렴 등 주요 폐 질환 진단을 돕는다.
해당 솔루션은 영상의학 분야 최고 권위 학술지인 Radiology에 게재된 임상연구에서 높은 판독 정확도와 효율성을 입증한 바 있다. 국내외 주요 중대형병원에서 활발하게 사용되며 임상적 가치가 검증된 주요 제품 중 하나다.
이예하 뷰노 대표는 "이번 태국 허가 획득은 일본, 대만, 말레이시아 등에 이어 뷰노의 아시아 의료 시장 진출을 가속화하는 성과로서 큰 의미를 갖는다"며 "앞으로도 세계적인 의료 학술지뿐 아니라 국내외 다양한 임상현장에서 실제로 쓰이며 임상적 가치를 입증해 온 뷰노메드 솔루션의 해외 시장 확대를 위해 적극적인 사업 활동에 매진하겠다"고 말했다.
【 청년일보=조성현 기자 】
















