【 청년일보 】 금일 의료·제약 주요 이슈로 피씨엘이 코로나19 타액 자가검사키트의 판매를 위한 조달청 등록 절차를 완료했다는 소식이 전해졌다.
아울러 동아ST는 제82회 미국 당뇨병학회(ADA, American Diabetes Association)에 신약 후보물질 'DA-1726' 비임상 연구 성과를 발표했다.
이 밖에 뷰노가 아시아 최대 규모 헬스케어 시장인 태국 진출을 본격화하고 해외 사업 강화에 나선다.
◆ 피씨엘, 코로나19 타액 자가검사키트 조달청 판매등록
피씨엘은 코로나19 타액 자가검사키트가 조달청에 판매를 위한 등록 절차를 완료하고 나라장터 등을 통해 정부조직과 공공기관 등에 본격적인 판매를 시작한다고 발표.
이로써 피씨엘의 혈액대량스크린시스템 HiSU와 현장형 신속진단장비인 'PCLOK II'가 조달청 지정 '혁신조달제품'으로 등록된 것에 이어 세번째 상품으로 코로나19 타액자가검사키트가 공공시장에 진출.
피씨엘은 공공시장에 참여하게 된 만큼 조달을 차질없게 진행하기 위해 노력할 방침. 또, 캐나다 공공조달 사업에도 참여하기 위해 준비 중.
피씨엘에 따르면 지난 4월 캐나다 보건부로부터 사용허가를 받아 수출이 진행되고 있으며, 캐나다 공공 조달 사업 참여도 추진 중.
◆ 동아ST, ADA 참가…신약 'DA-1726' 성과 발표
세계에서 가장 권위있는 당뇨병 관련 국제학회 미국 당뇨병학회에서 동아ST는 지난해 DA-1241 과제를 발표. 올해는 DA-1726의 체중 감소와 비알콜성지방간염(NASH) 치료제로의 가능성을 소개.
DA-1726은 옥신토모듈린 유사체(Oxyntomodulin analogue) 계열의 비만 및 당뇨치료제로 개발중인 신약 후보물질로 GLP-1 수용체와 글루카곤 수용체에 동시에 작용해 식욕억제와 인슐린 분비 촉진 및 말초에서 기초대사량을 증가시켜 궁극적으로 체중 감소와 혈당 조절을 유도.
비만 동물 모델에서 GLP-1 유사체인 세마글루타이드(semaglutide) 대비 우수한 체중감소 효과를 확인, 에너지 대사에 관여하는 지표들의 개선을 관찰.
동아ST는 고혈당을 동반한 비만 동물 모델에서는 세마글루타이드와 비교했을 때 우수한 체중감소 및 동등 이상의 유의적이고 우수한 당화혈색소(HbA1c) 개선 효과가 관찰돼 두 수용체에 대한 균형 잡힌 활성을 통해 옥신토모듈린 계열 약물이 가진 혈당 상승에 대한 우려도 해결할 수 있을 것으로 기대 중.
또, DA-1726은 공복상태의 정상 마우스에서도 저혈당 및 고혈당에 대한 이슈가 없는 것으로 확인.
이와 함께 동아ST는 DA-1726의 비알콜성지방간염(NASH) 치료에 대한 비임상 결과를 발표. DA-1726은 비알콜성지방간질환 치료 효과 측정 기준으로 사용되는 NAS(NAFLD activity score)와 간 섬유화, 그리고 간독성 지표 및 대사 지표들에 대해서도 개선 약효를 확인.
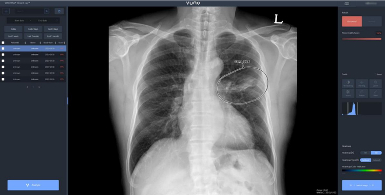
◆ 뷰노, 'AI 흉부 엑스레이 판독 솔루션' 태국 판매허가 획득
뷰노가 자사 인공지능 기반 흉부 엑스레이 영상 판독 보조 솔루션 뷰노메드 체스트 엑스레이™(VUNO Med®-Chest X-ray™)의 태국 식약청(Thailand FDA) 의료기기 판매허가를 획득했다고 발표.
태국의 의료기기 시장은 아세안(ASEAN) 최대 규모로, 정부의 적극적인 지원과 투자를 바탕으로 빠르게 성장 중.
뷰노에 따르면 시장 규모는 오는 2024년 22억 달러에 달할 것으로 예상. 연평균 성장률은 6.1%로 전망.
태국 정부는 고령화와 코로나19 팬데믹 상황에서 국가 경쟁력 확대를 위한 12대 미래산업 중 하나로 헬스케어 산업을 선정하고 다양한 육성책을 제시하는 중.
이번 태국 허가를 획득한 뷰노메드 체스트 엑스레이™는 흉부 엑스레이 영상에서 결절, 경화, 간질성 음영, 흉수, 기흉 등 주요 이상소견을 높은 정확도로 탐지해 의료진에게 이상소견의 소견명과 위치를 제시해 결핵, 폐렴 등 주요 폐 질환 진단을 돕는 인공지능 솔루션.
◆ JW중외제약, 제45회 의약평론가 선정
JW중외제약이 후원하는 '의약평론가'가 새단장.
이번에 선정 된 인물은 △김부섭 남양주 현대병원 원장 △김소윤 연세의대 의료법윤리학과 교수 △박중신 서울의대 산부인과 교수 △송우철 제주한국병원 흉부외과 과장 △김남득 부산대 약학대학 교수 △서영준 서울대 약학대학 교수 등 6명.
올해로 45회를 맞은 '의약평론가'는 지난 1976년부터 의료·약학계 전문가를 대상으로 활발한 학술연구나 논평 등 언론활동을 통해 국민보건 향상에 기여한 의사·약사를 발굴하는 제도.
그동안 배출된 210여 명의 의약평론가들은 의약계에서 오피니언 리더의 역할을 담당하고 있으며, 특히 지난 1998년부터는 한국의약사평론가회를 결성해 활동 중. 시상식은 오는 21일 오후 6시 30분 한국프레스센터에서 개최 될 예정.
◆ 동아제약, 부패방지경영시스템 내부심사 도입
동아제약은 동대문구 용두동 본사에 위치한 웰컴센터에서 부패방지경영시스템 ISO 37001 내부심사원 워크숍을 개최.
이번 워크숍은 내부심사원 역량 강화를 위한 교육 및 커뮤니케이션을 목표로 효과적인 내부심사 수행과 담당 지역 부패 리스크 경감 등을 관리하기 위해 마련.
동아제약은 지난 2019년 부패방지경영시스템 국제표준인 ISO 37001 인증을 획득했으며, 2020년부터는 사후심사를 통해 부패방지경영시스템 업무 개선과 실질적 운영에 노력 중.
이번 워크숍은 동아제약 부패방지경영시스템 운영 방향을 시작으로 ISO 37001 주요 요구사항 및 내부적용 사례 확인, 내부심사 개요 및 실전 등의 과정으로 진행.
【 청년일보=조성현 기자 】



















